沪闵械备20180126号
正常组织中,CK17 主要表达于复层上皮和假复层上皮的基底细胞以及部分腺体( 如唾液腺) 的肌上皮细胞中。该抗体主要用于肺、子宫颈和口腔鳞状细胞癌的诊断。
【适用】石蜡切片/冰冻切片
【预处理】高pH热修复
【稀释度】浓缩型抗体的建议稀释度为1:50-100
【孵育时间】室温孵育30-60分钟。
【阳性对照】皮肤
【阳性部位】细胞浆
【显色系统】GTvision系列试剂盒

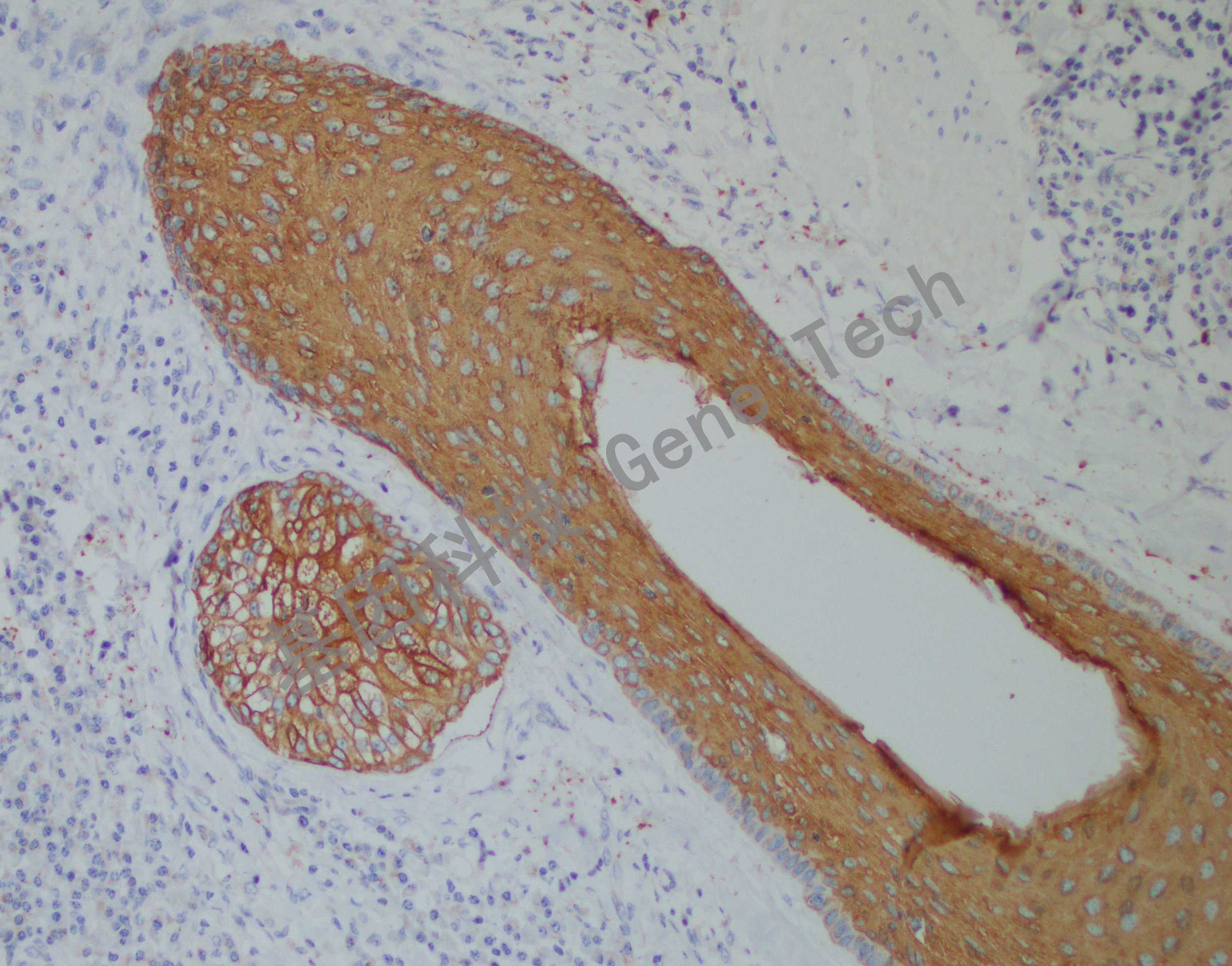
皮肤石蜡切片,用 CK17(GM7046)染色,细胞浆阳性,DAB 显色。

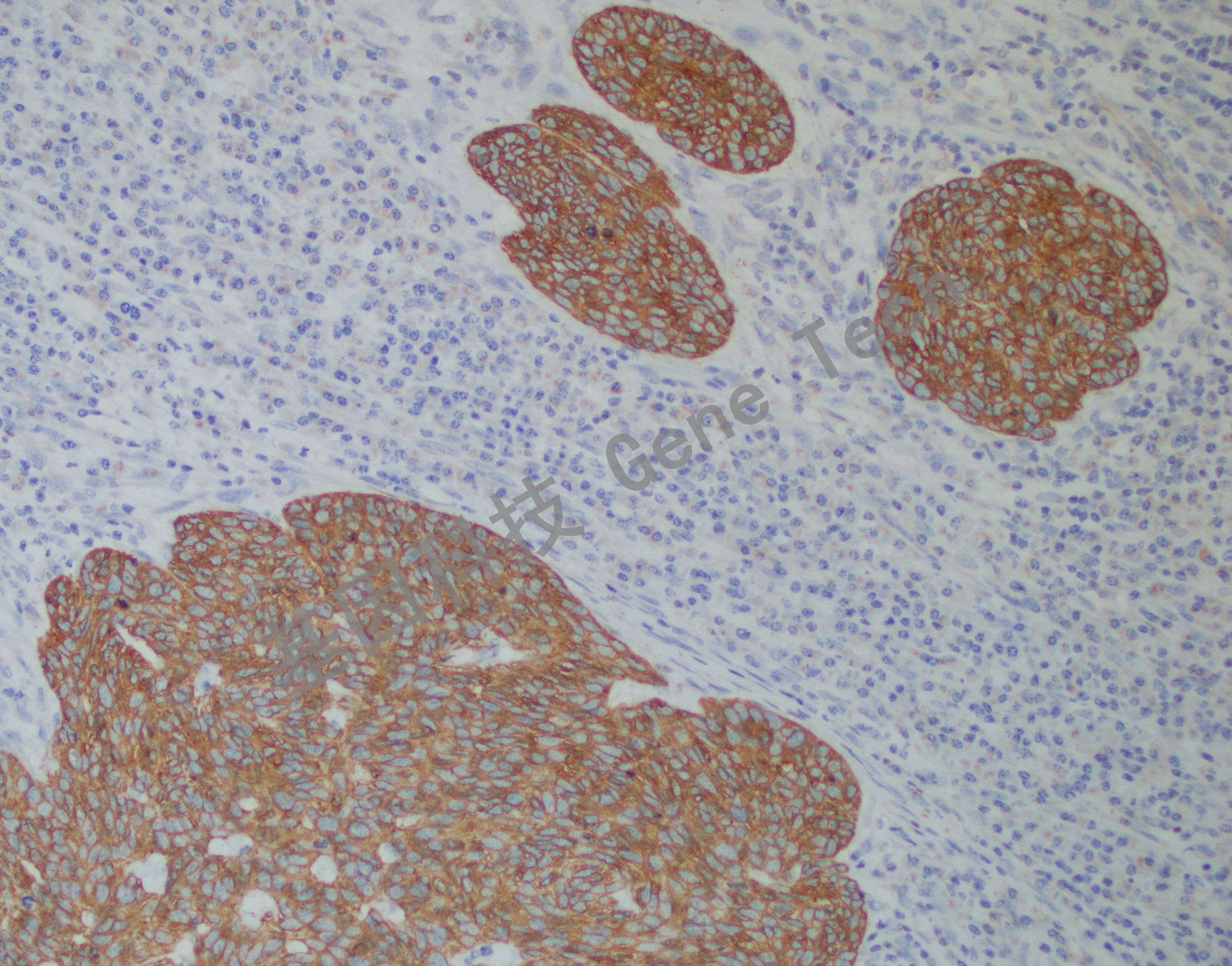
皮肤石蜡切片,用 CK17(GM7046)染色,细胞浆阳性,DAB 显色。

皮肤石蜡切片,用 CK17(GM7046)染色,细胞浆阳性,DAB 显色。

皮肤石蜡切片,用 CK17(GM7046)染色,细胞浆阳性,DAB 显色。

皮肤石蜡切片,用 CK17(GM7046)染色,细胞浆阳性,DAB 显色。

皮肤石蜡切片,用 CK17(GM7046)染色,细胞浆阳性,DAB 显色。

皮肤石蜡切片,用 CK17(GM7046)染色,细胞浆阳性,DAB 显色。