沪闵械备20180188号
CK10( 细胞角蛋白10) 在表皮的上基层细胞中表达。在上皮细胞中,CK10 的表达与细胞的分化程度相平行;在基底层细胞中无表达,在初层细胞中开始出现,随着向粒细胞层表达逐渐增多。CK10 的表达与恶性角质细胞的成熟相关联,优先出现在分化程度更高的部位。
【适用】石蜡切片/冰冻切片
【预处理】高pH热修复
【稀释度】浓缩型抗体的建议稀释度为1:50-100
【孵育时间】室温孵育30-60分钟。
【阳性对照】皮肤
【阳性部位】细胞浆
【显色系统】GTvision系列试剂盒

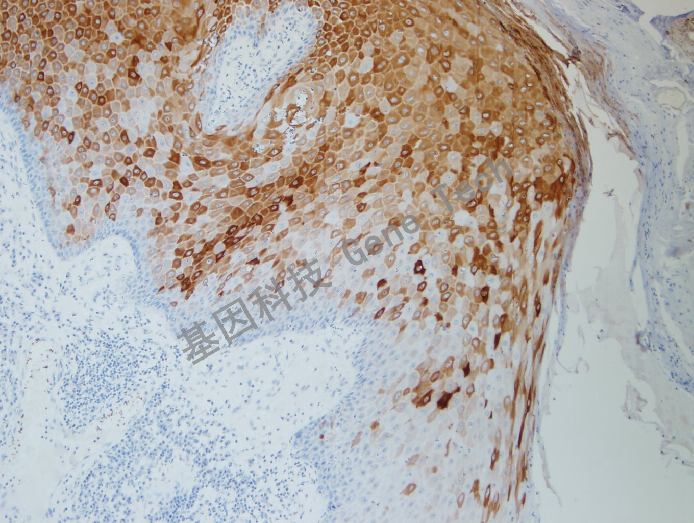
皮肤石蜡切片,用 CK10(GT2147)染色,细胞浆阳性,DAB 显色。

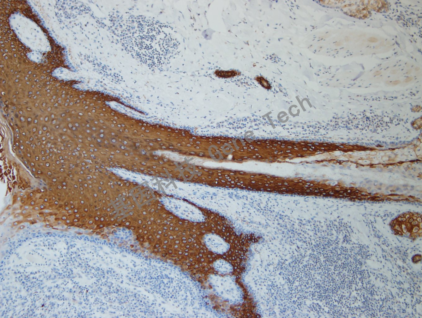
皮肤石蜡切片,用 CK10(GT2147)染色,细胞浆阳性,DAB 显色。

皮肤石蜡切片,用 CK10(GT2147)染色,细胞浆阳性,DAB 显色。

皮肤石蜡切片,用 CK10(GT2147)染色,细胞浆阳性,DAB 显色。

皮肤石蜡切片,用 CK10(GT2147)染色,细胞浆阳性,DAB 显色。

皮肤石蜡切片,用 CK10(GT2147)染色,细胞浆阳性,DAB 显色。