沪闵械备20230585号
胰蛋白酶Trypsin是一种肽链内切酶,它能把多肽链中赖氨酸和精氨酸残基中的羧基端切断。而且还能限制分解糜蛋白酶原、羧肽酶原、磷脂酶原等其它酶的前体,起活化作用。是特异性最强的蛋白酶,在决定蛋白质的氨基酸排列中,它成为不可缺少的工具。常用于胰腺腺泡细胞癌(PACC)诊断的传统免疫组化标志物。
【种属】兔
【预处理】高pH热修复
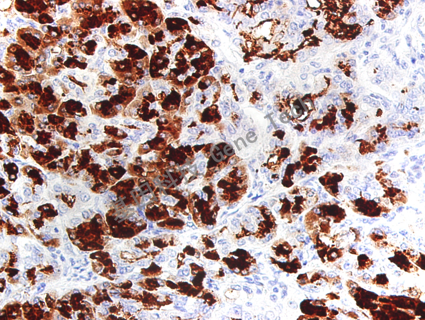
【阳性部位】细胞浆
【阳性对照】胰腺
【染色系统】基因科技GTvision试剂盒

胰腺癌石蜡切片,用 Trypsin(GT2549)染色,细胞浆阳性,DAB 显色。

胰腺癌石蜡切片,用 Trypsin(GT2549)染色,细胞浆阳性,DAB 显色。