沪闵械备20190108号
在正常的组织中,CK5 表达于鳞状上皮和导管上皮的基底细胞以及部分的鳞状上皮生发层细胞、肌上皮细胞和间皮细胞中,而绝大多数腺上皮细胞几乎不表达。CK5 可用于鳞癌和腺癌、间皮瘤和腺癌的鉴别诊断。亦可用于乳腺、涎腺、前列腺上皮来源肿瘤良、恶性的鉴别诊断。
【适用】石蜡切片/冰冻切片
【预处理】高pH热修复
【稀释度】浓缩型抗体的建议稀释度为1:50-100
【孵育时间】室温孵育30-60分钟。
【阳性对照】前列腺
【阳性部位】细胞浆
【显色系统】GTvision系列试剂盒

扁桃体石蜡切片,用 CK5(GT2152)染色,细胞浆阳性,DAB 显色。

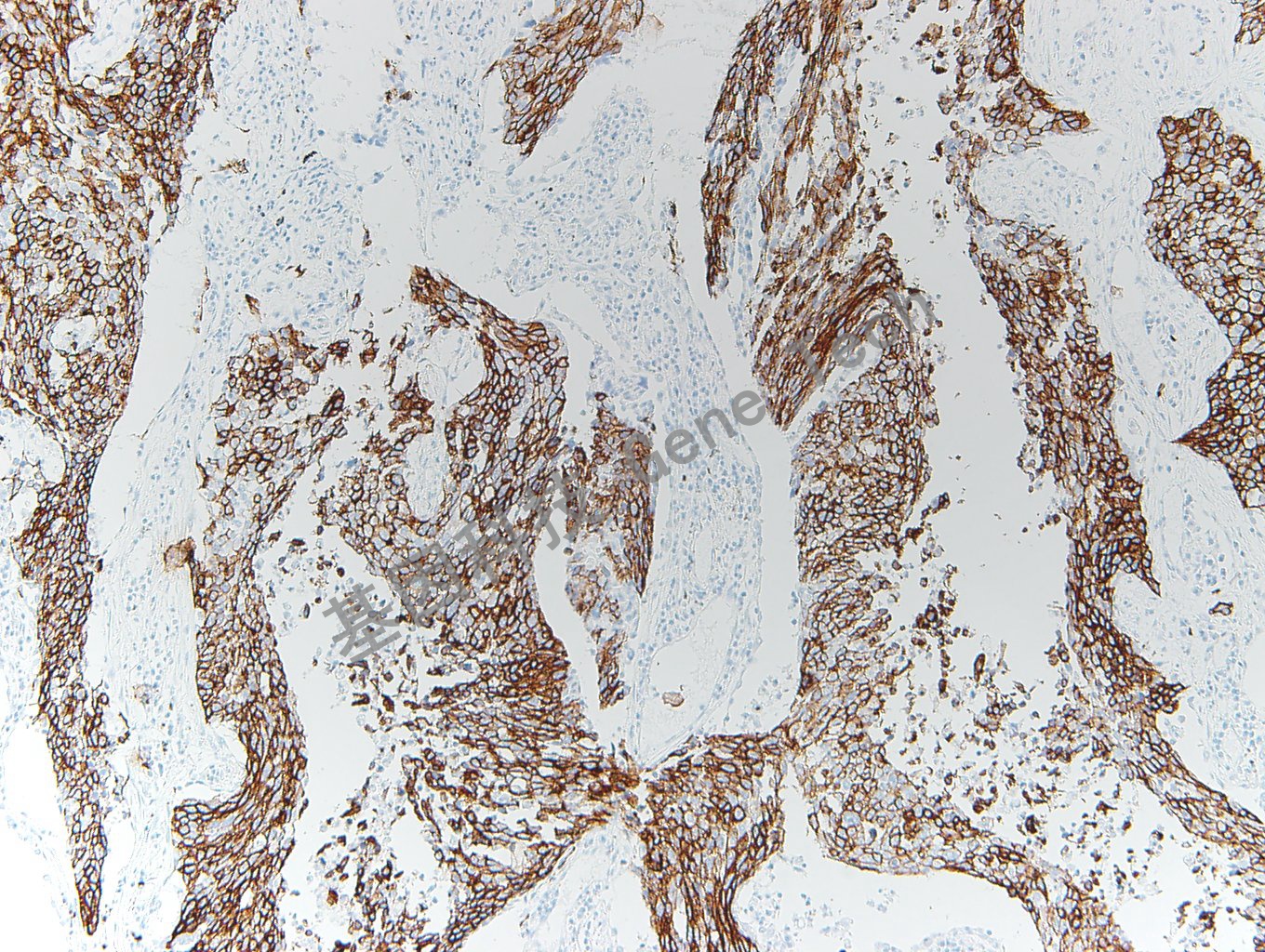
肺鳞癌石蜡切片,用 CK5(GT2152)染色,细胞浆阳性,DAB 显色。

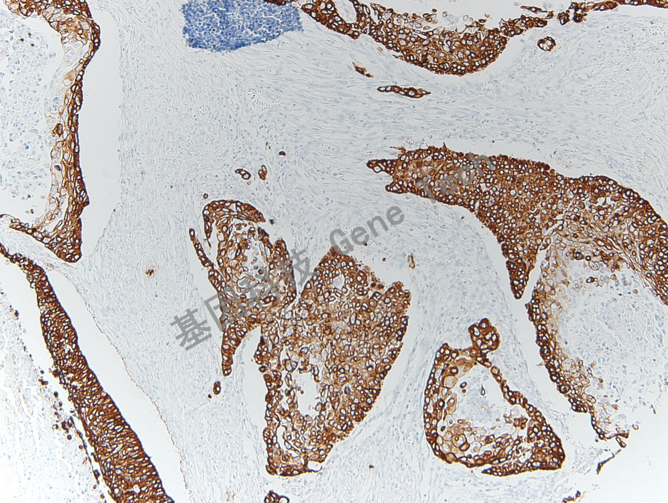
膀胱癌石蜡切片,用 CK5(GT2152)染色,细胞浆阳性,DAB 显色。

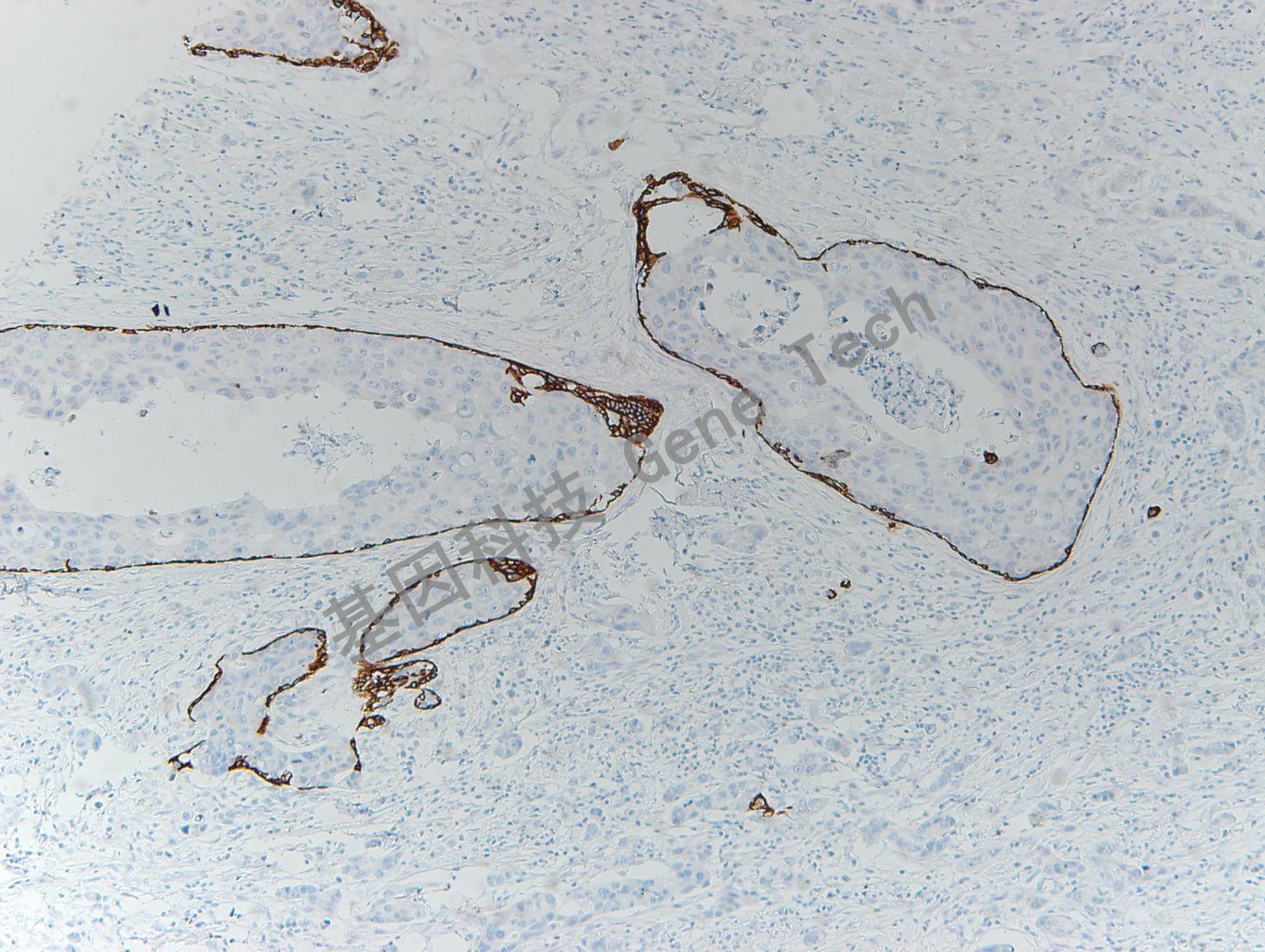
前列腺癌石蜡切片,用 CK5(GT2152)染色,细胞浆阳性,DAB 显色。

乳腺癌石蜡切片,用 CK5(GT2152)染色,细胞浆阳性,DAB 显色。

正常前列腺石蜡切片,用 CK5(GT2152)染色,细胞浆阳性,DAB 显色。

正常乳腺石蜡切片,用 CK5(GT2152)染色,细胞浆阳性,DAB 显色。