沪闵械备20180076号
AE1 可与大多数酸性细胞角蛋白(Ⅰ型角蛋白)反应,而AE3 识别所有已知的碱性细胞角蛋白(Ⅱ 型角蛋白)。抗体AE1/AE3 可与细胞角蛋白CK1-8、10、14、15、16、19 反应,主要用于标记角化上皮、复层鳞状上皮、多层上皮、增生的角化细胞和单层上皮,为广谱细胞角蛋白标记物。此外,该抗体有助于各种癌与非上皮性肿瘤的鉴别诊断。
【适用】石蜡切片/冰冻切片
【预处理】高pH热修复
【稀释度】浓缩型抗体的建议稀释度为1:50-100
【孵育时间】室温孵育30-60分钟。
【阳性对照】扁桃体/鳞状细胞癌
【阳性部位】细胞浆
【显色系统】GTvision系列试剂盒
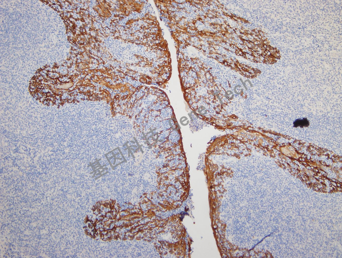
食道石蜡切片,用 CK,pan(GM3515)染色,细胞浆阳性,DAB 显色。

食道石蜡切片,用 CK,pan(GM3515)染色,细胞浆阳性,DAB 显色。

肝脏石蜡切片,用 CK,pan(GM3515)染色,细胞浆阳性,DAB 显色。

肝脏石蜡切片,用 CK,pan(GM3515)染色,细胞浆阳性,DAB 显色。

肝脏石蜡切片,用 CK,pan(GM3515)染色,细胞浆阳性,DAB 显色。

扁桃体石蜡切片,用 CK,pan(GM3515)染色,细胞浆阳性,DAB 显色。

扁桃体石蜡切片,用 CK,pan(GM3515)染色,细胞浆阳性,DAB 显色。

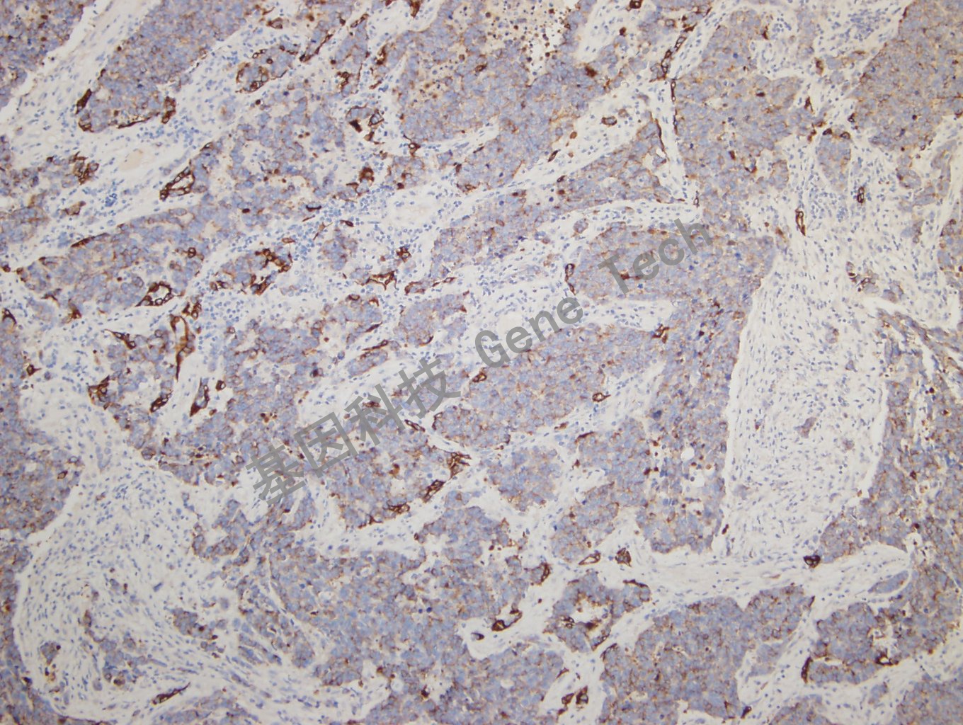
小细胞肺癌石蜡切片,用 CK,pan(GM3515)染色,细胞浆阳性,DAB 显色。

小细胞肺癌石蜡切片,用 CK,pan(GM3515)染色,细胞浆阳性,DAB 显色。

小细胞肺癌石蜡切片,用 CK,pan(GM3515)染色,细胞浆阳性,DAB 显色。

肺腺癌石蜡切片,用 CK,pan(GM3515)染色,细胞浆阳性,DAB 显色。

肺腺癌石蜡切片,用 CK,pan(GM3515)染色,细胞浆阳性,DAB 显色。

肺腺癌石蜡切片,用 CK,pan(GM3515)染色,细胞浆阳性,DAB 显色。

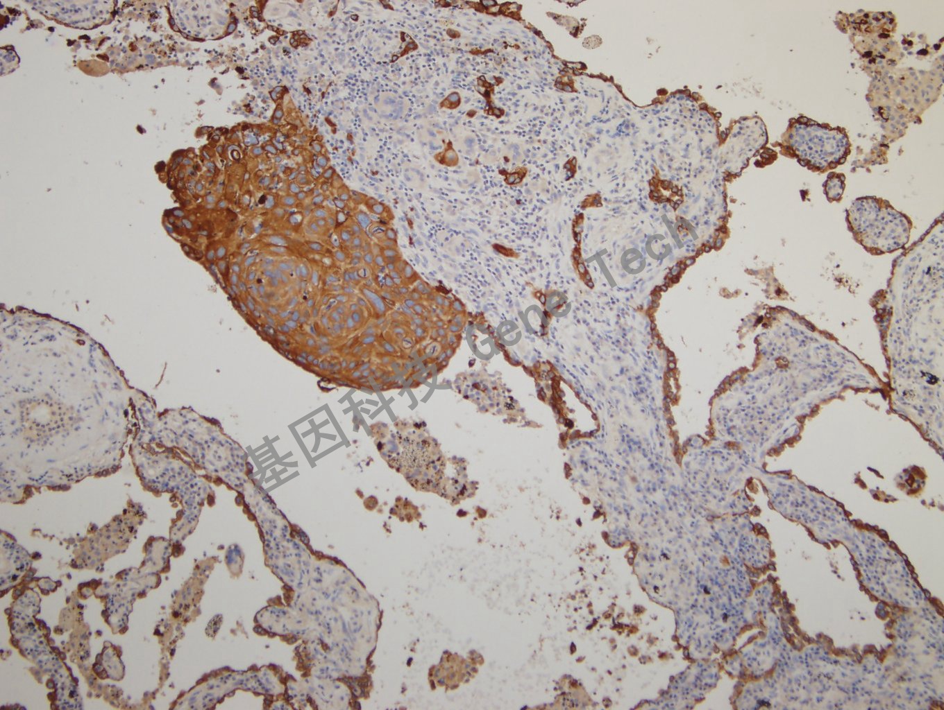
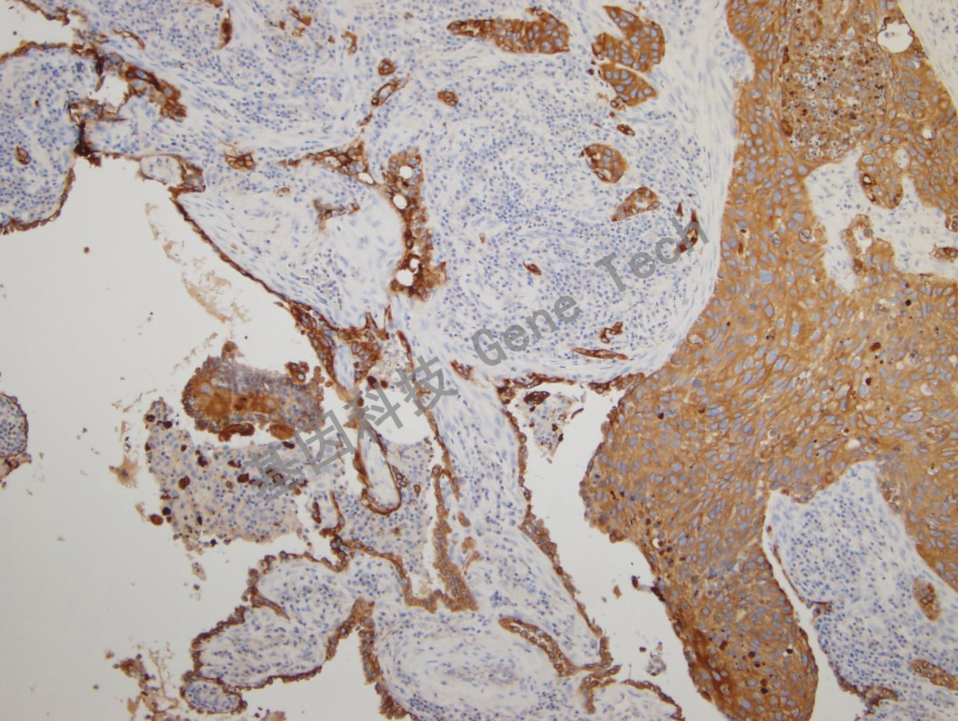
肺鳞癌石蜡切片,用 CK,pan(GM3515)染色,细胞浆阳性,DAB 显色。

肺鳞癌石蜡切片,用 CK,pan(GM3515)染色,细胞浆阳性,DAB 显色。

肺鳞癌石蜡切片,用 CK,pan(GM3515)染色,细胞浆阳性,DAB 显色。

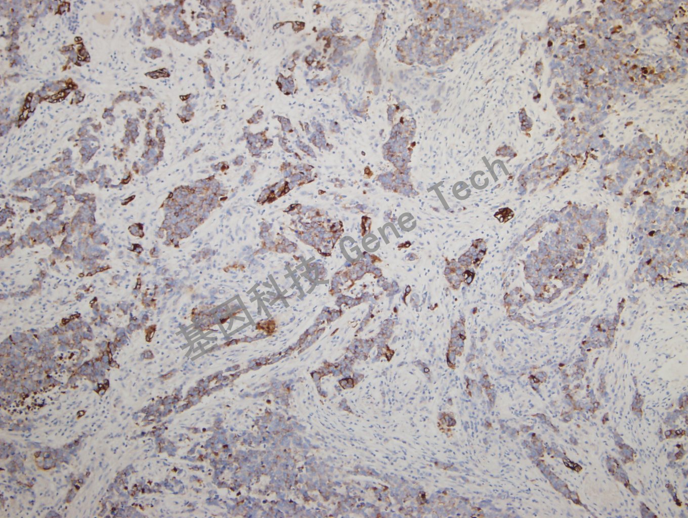
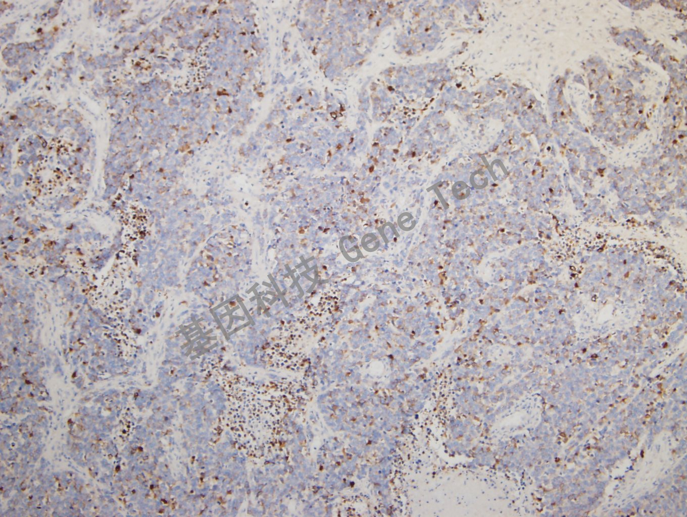
肾透明细胞癌石蜡切片,用 CK,pan(GM3515)染色,细胞浆阳性,DAB 显色。

肾透明细胞癌石蜡切片,用 CK,pan(GM3515)染色,细胞浆阳性,DAB 显色。