沪闵械备20180082号
CyclinD1 又称bc1-1 或PRAD-1,是一种分子量为36kDa 的细胞核蛋白,属于细胞周期调控蛋白家族成员之一,是细胞周期中G1 期进入S 期的重要调控因子。此抗体常用于鉴别套细胞淋巴瘤和其他类型的B 细胞淋巴瘤,也可用于细胞周期方面的研究。
【适用】石蜡切片/冰冻切片
【预处理】高pH热修复
【稀释度】浓缩型抗体的建议稀释度为1:25-50
【孵育时间】室温孵育30-60分钟。
【阳性对照】扁桃体/套细胞淋巴瘤
【阳性部位】细胞核
【显色系统】GTvision系列试剂盒

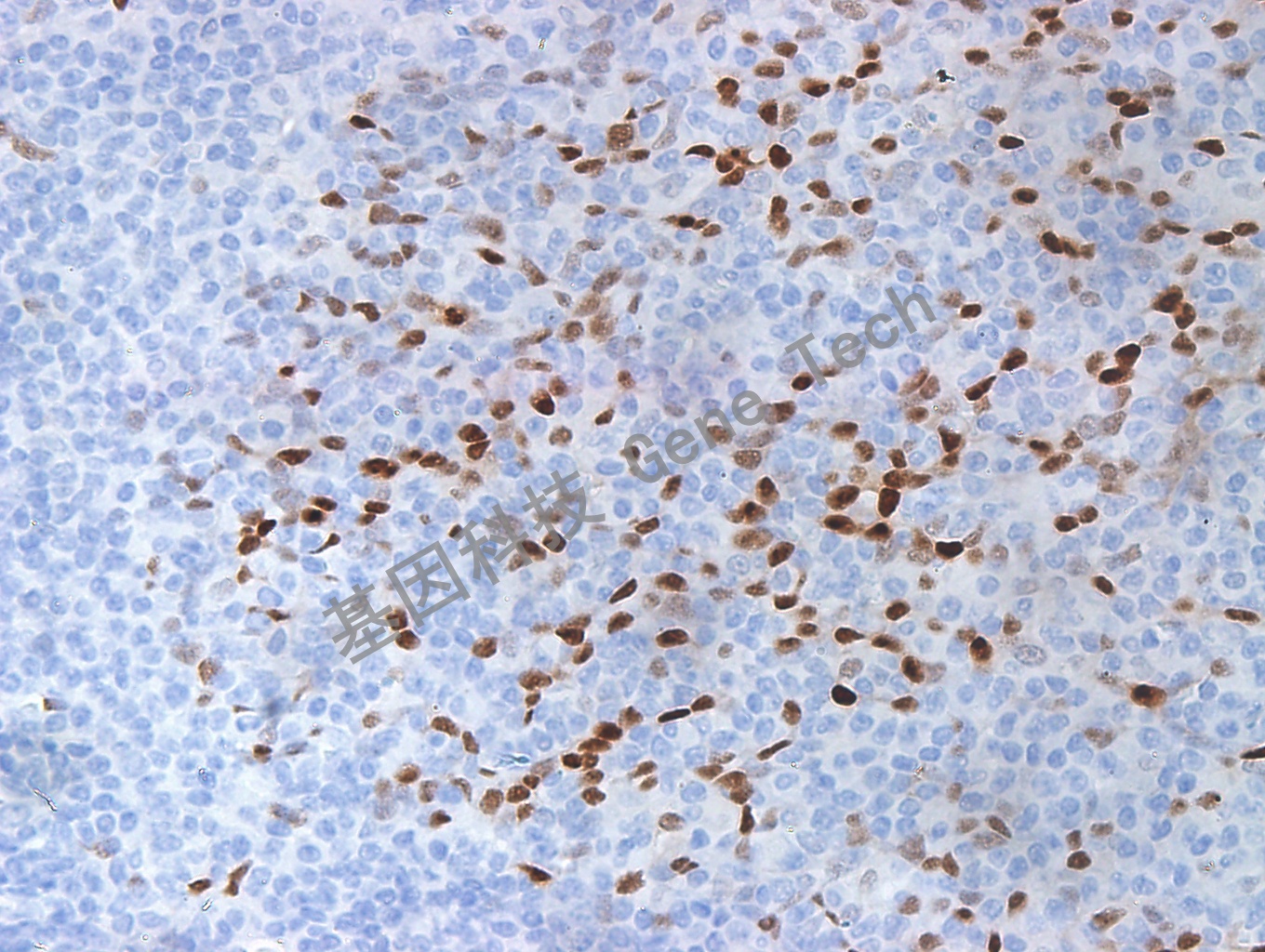
扁桃体石蜡切片,用 Cyclin D1(GT2058)染色,细胞核阳性,DAB 显色。(10×)

扁桃体石蜡切片,用 Cyclin D1(GT2058)染色,细胞核阳性,DAB 显色。(10×)
扁桃体石蜡切片,用 Cyclin D1(GT2058)染色,细胞核阳性,DAB 显色。(40×)