沪闵械备20180330号
SMA(Smooth Muscle Actin, 平滑肌肌动蛋白)主要标记平滑肌和肌上皮细胞。用于证实平滑肌瘤,乳腺、涎腺和汗腺的肌上皮细胞。
【种属】鼠
【预处理】高pH热修复
【阳性部位】细胞浆
【阳性对照】阑尾
【染色系统】基因科技GTvision试剂盒

结肠石蜡切片,用 SMA(GM0851)染色,细胞浆阳性,DAB显色。

结肠石蜡切片,用 SMA(GM0851)染色,细胞浆阳性,DAB显色。

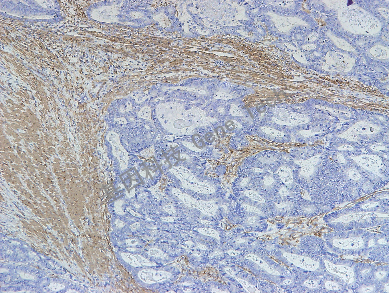
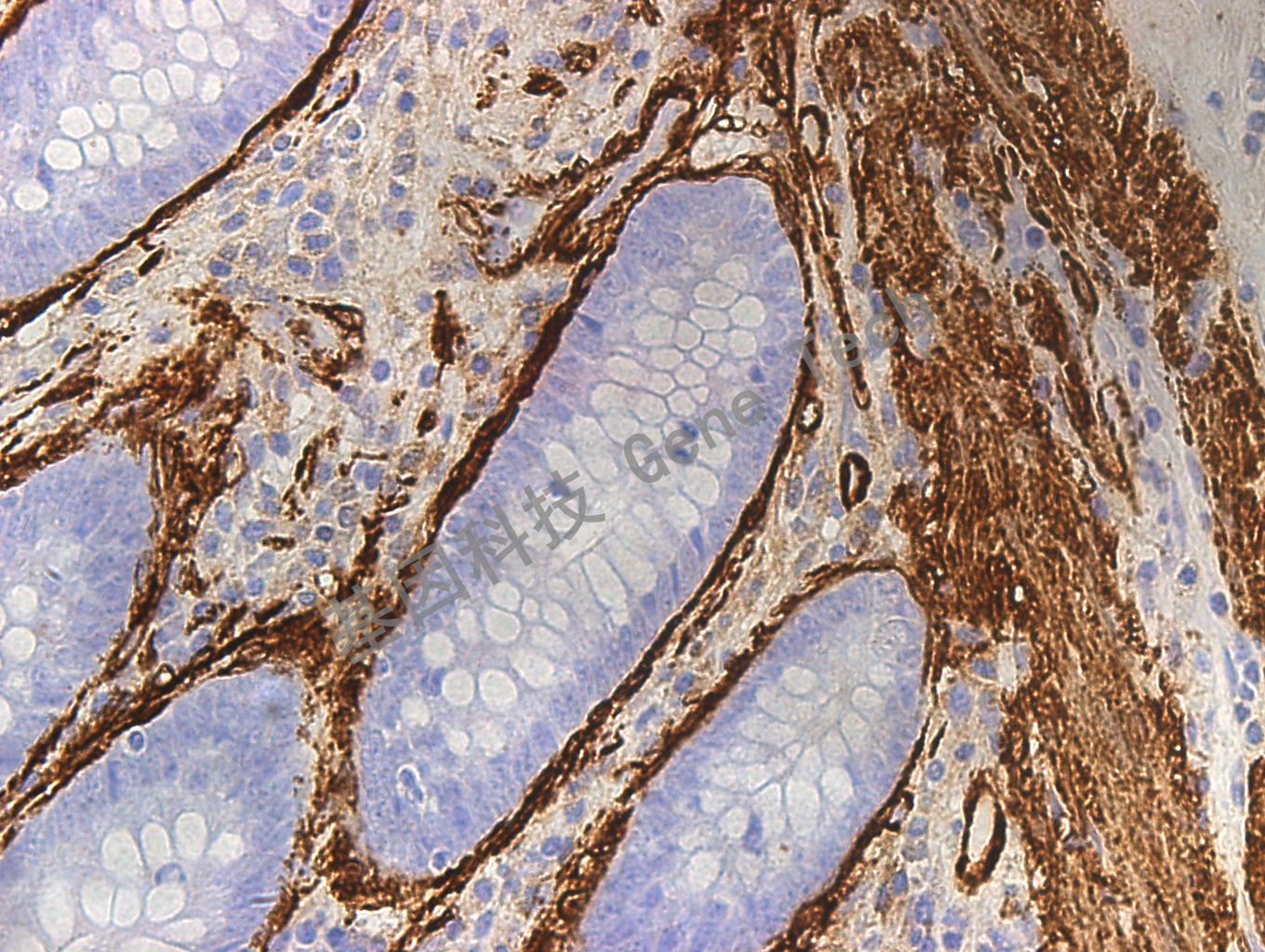
结肠石蜡切片,用 SMA(GM0851)染色,细胞浆阳性,DAB显色。(10×)

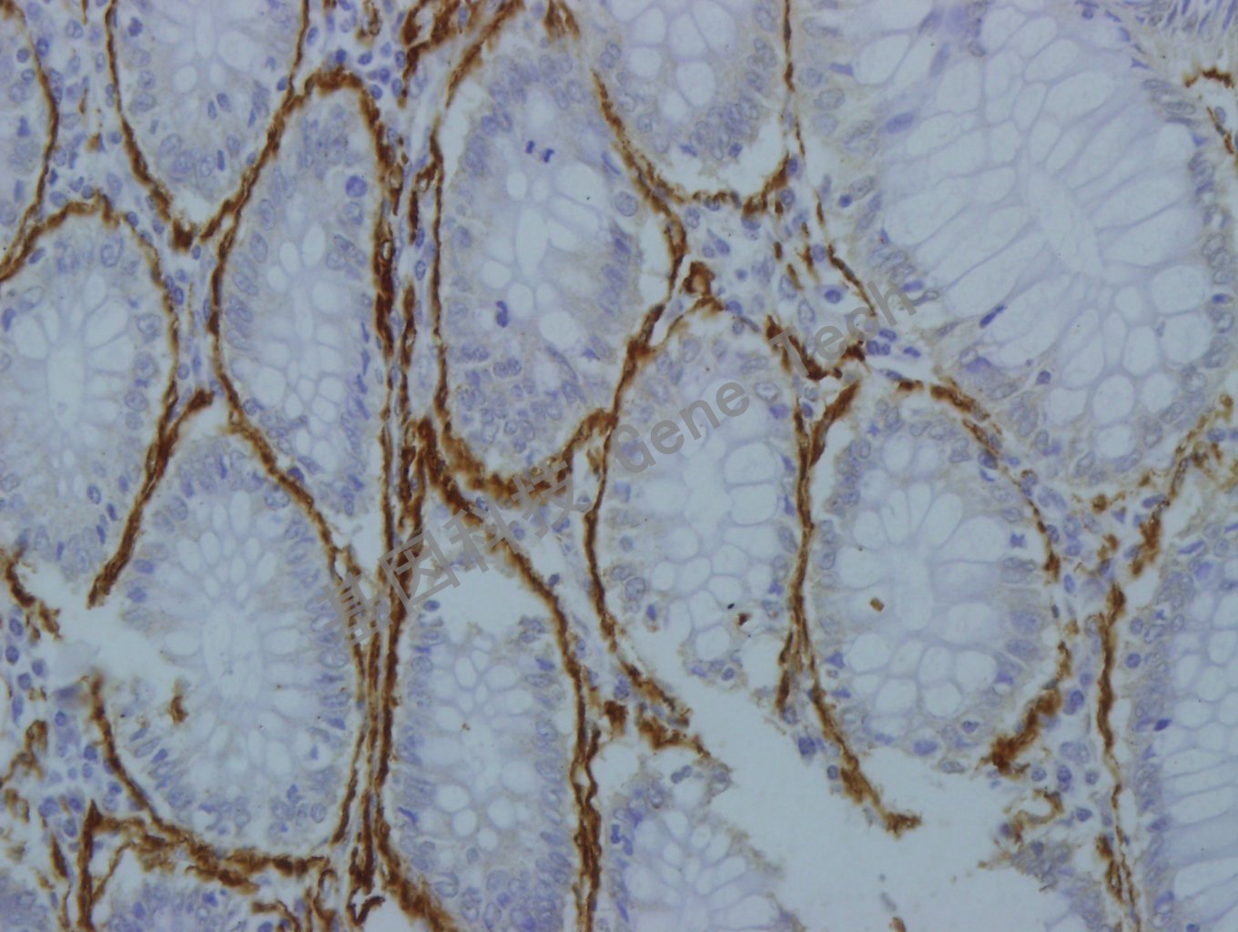
结肠石蜡切片,用 SMA(GM0851)染色,细胞浆阳性,DAB显色。(40×)

阑尾石蜡切片,用 SMA(GM0851)染色,细胞浆阳性,DAB显色。

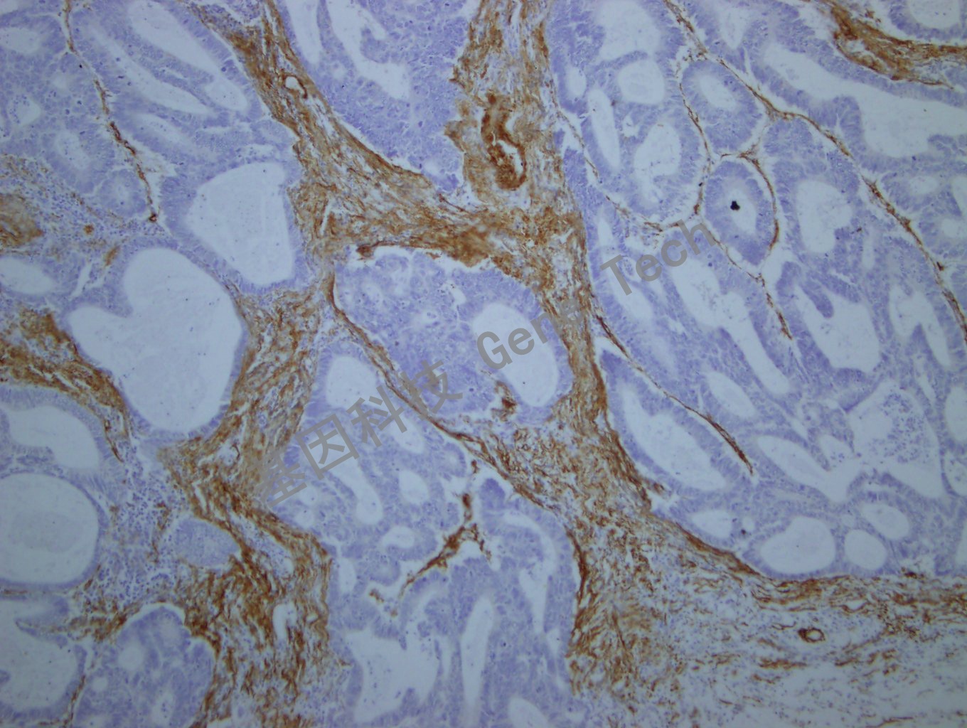
阑尾石蜡切片,用 SMA(GM0851)染色,细胞浆阳性,DAB显色。(10×)

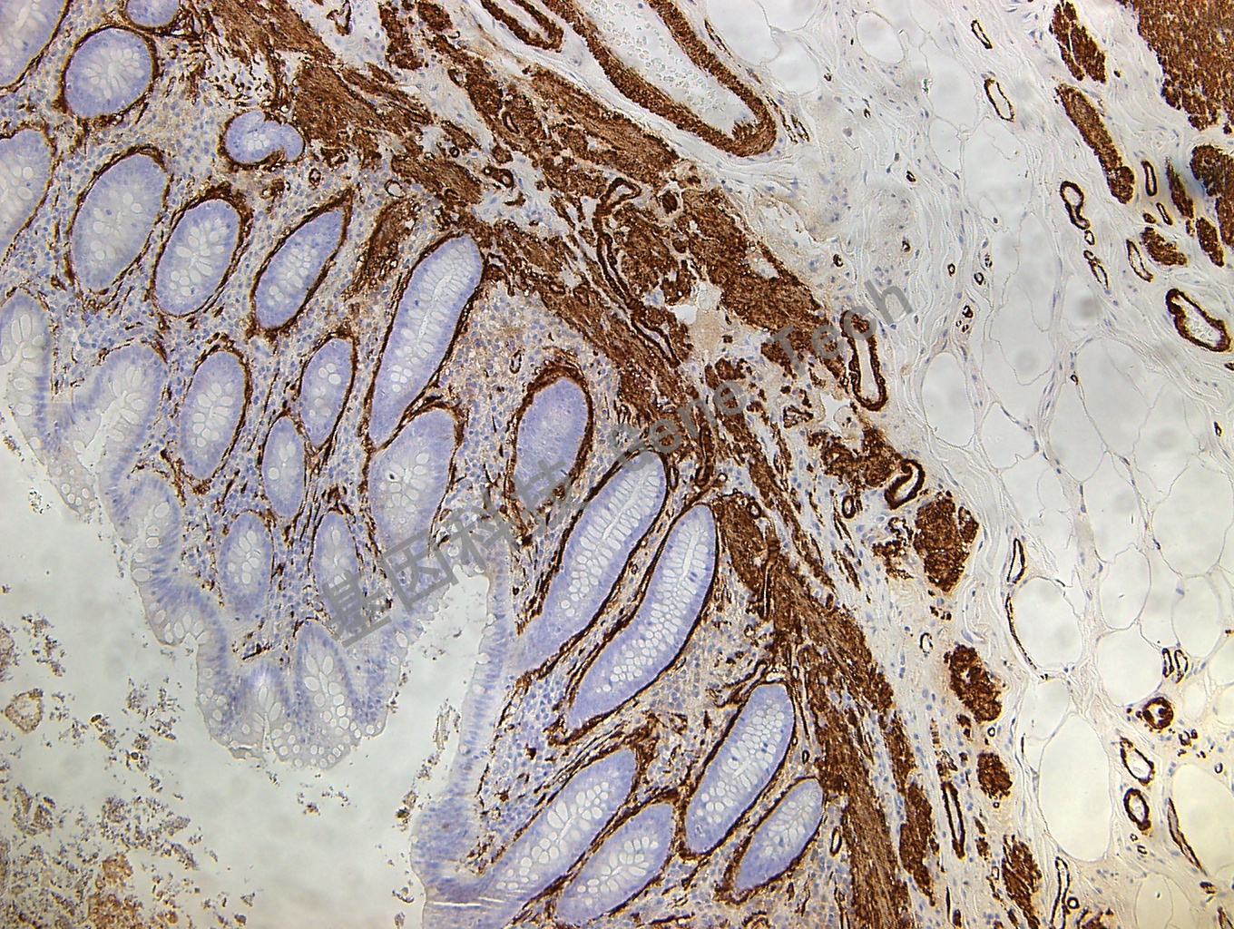
阑尾石蜡切片,用 SMA(GM0851)染色,细胞浆阳性,DAB显色。(40×)

平滑肌瘤石蜡切片,用 SMA(GM0851)染色,细胞浆阳性,DAB显色。(10×)

平滑肌瘤石蜡切片,用 SMA(GM0851)染色,细胞浆阳性,DAB显色。(40×)