沪闵械备20180228号
CD79a 是广谱 B 细胞标记物,可标记前 B 细胞一直到浆细胞,约 97% 的 B 细胞淋巴瘤可以被标记。
【适用】石蜡切片/冰冻切片
【预处理】高pH热修复
【稀释度】浓缩型抗体的建议稀释度为1:50-100
【孵育时间】室温孵育30-60分钟。
【阳性对照】扁桃体/淋巴结
【阳性部位】细胞膜/细胞浆
【显色系统】GTvision系列试剂盒

扁桃体石蜡切片,用 CD79a(GM7050)染色,细胞膜/细胞浆阳性,DAB 显色。

扁桃体石蜡切片,用 CD79a(GM7050)染色,细胞膜/细胞浆阳性,DAB 显色。

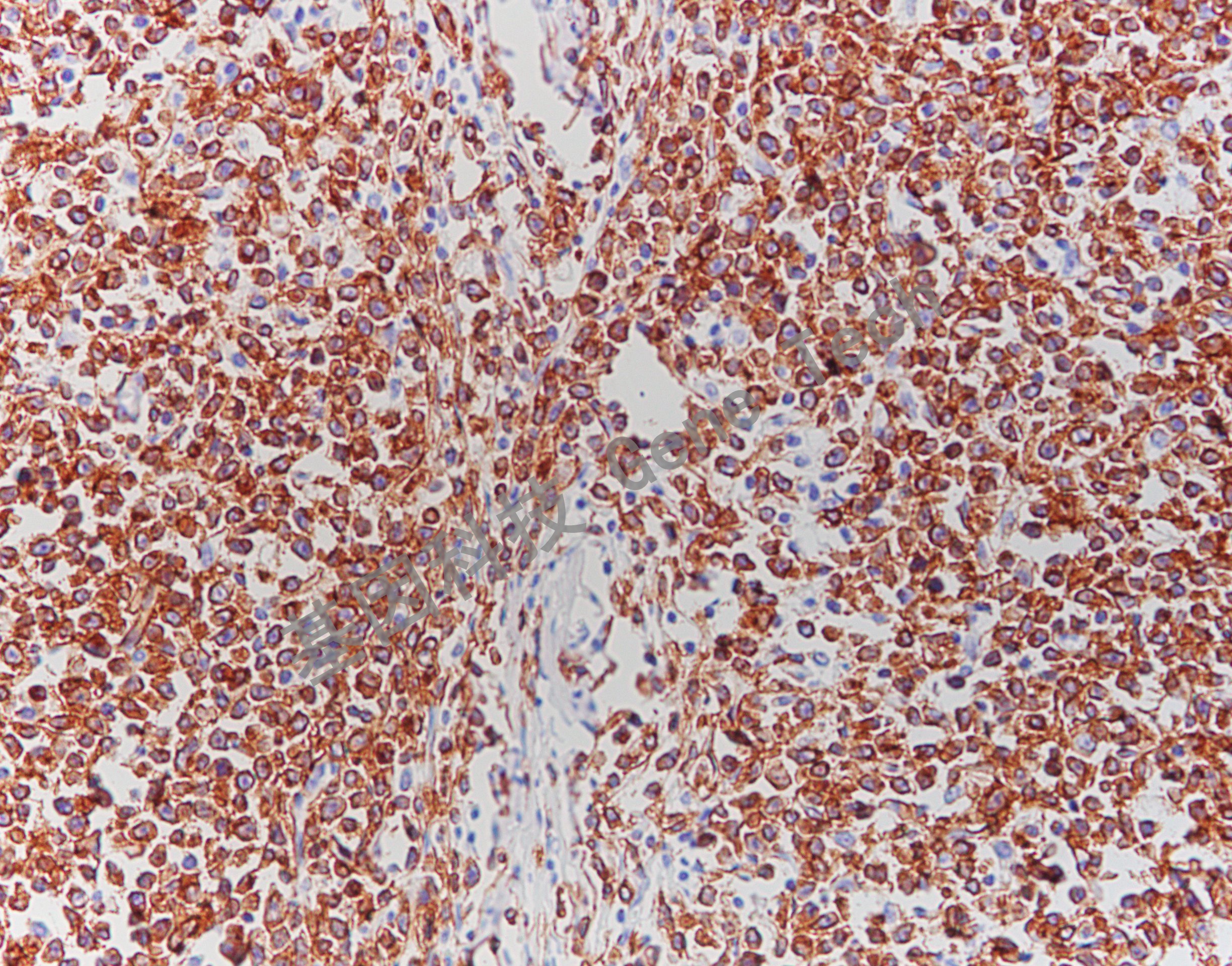
淋巴瘤石蜡切片,用 CD79a(GM7050)染色,细胞膜/细胞浆阳性,DAB 显色。