沪闵械备20180337号
细胞表面转铁蛋白受体(CD71)是一种二硫键连接的同型二聚体糖蛋白。转铁蛋白的配体是一种血清铁转运蛋白。这种受体广泛分布在癌细胞,肉瘤细胞,白细胞以及淋巴瘤细胞中。有报道显示CD71在正常组织以及肿瘤组织中伴随着细胞的增殖而表达,并且在很多恶性肿瘤的临床预警相应的治疗策略中起到一定作用。
【适用】石蜡切片/冰冻切片
【预处理】高pH热修复
【稀释度】浓缩型抗体的建议稀释度为1:50-100
【孵育时间】室温孵育30-60分钟。
【阳性对照】扁桃体/胎盘
【阳性部位】细胞膜/细胞浆
【显色系统】GTvision系列试剂盒

阑尾石蜡切片,用 CD71(GT2143)染色,细胞膜/细胞浆阳性,DAB显色。(10×)

阑尾石蜡切片,用 CD71(GT2143)染色,细胞膜/细胞浆阳性,DAB显色。(40×)

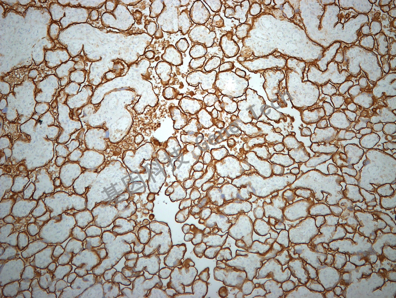
胎盘石蜡切片,用 CD71(GT2143)染色,细胞膜/细胞浆阳性,DAB显色。(10×)

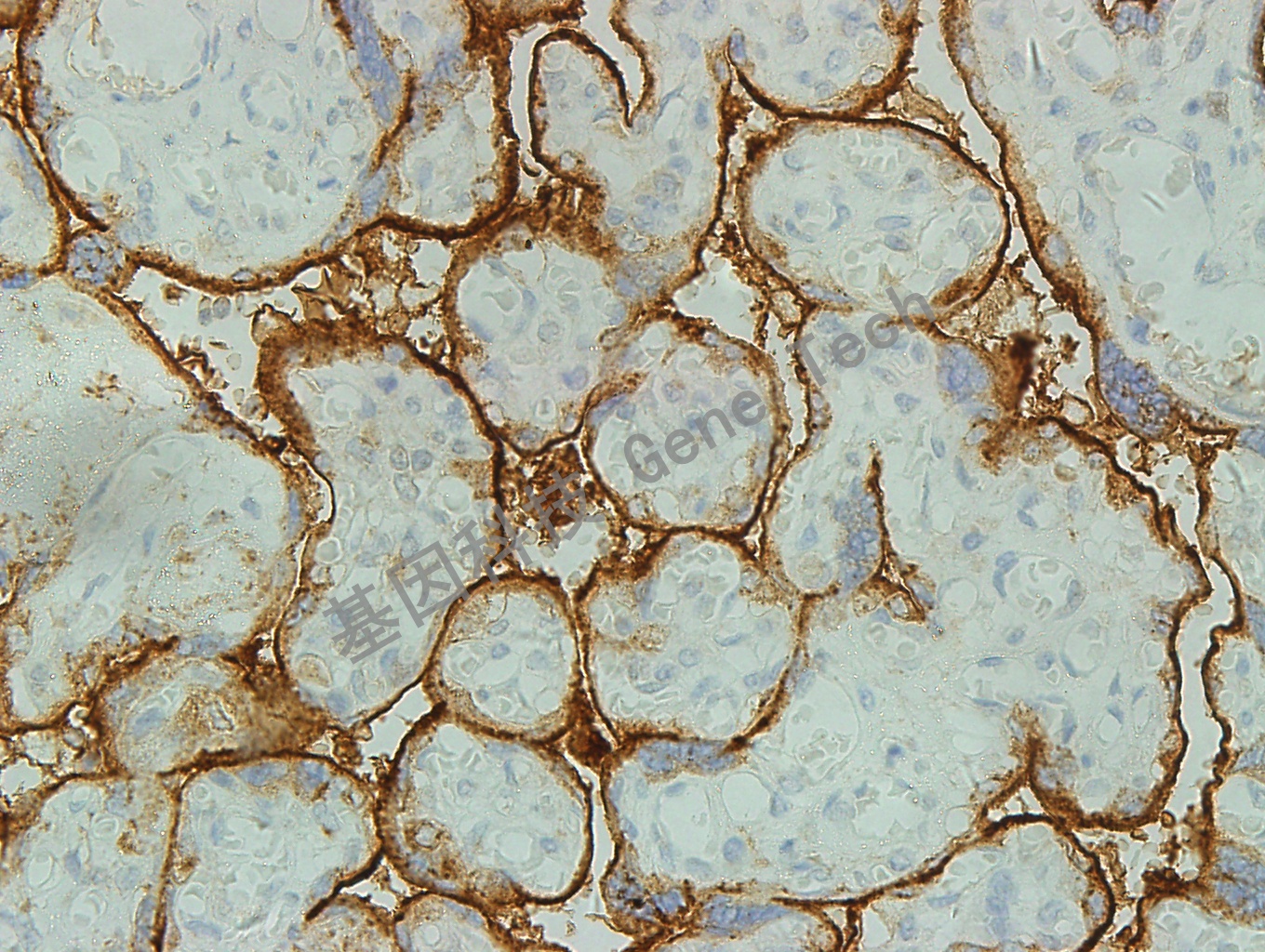
胎盘石蜡切片,用 CD71(GT2143)染色,细胞膜/细胞浆阳性,DAB显色。(40×)

胎盘石蜡切片,用 CD71(GT2143)染色,细胞膜/细胞浆阳性,DAB显色。(10×)

胎盘石蜡切片,用 CD71(GT2143)染色,细胞膜/细胞浆阳性,DAB显色。(40×)

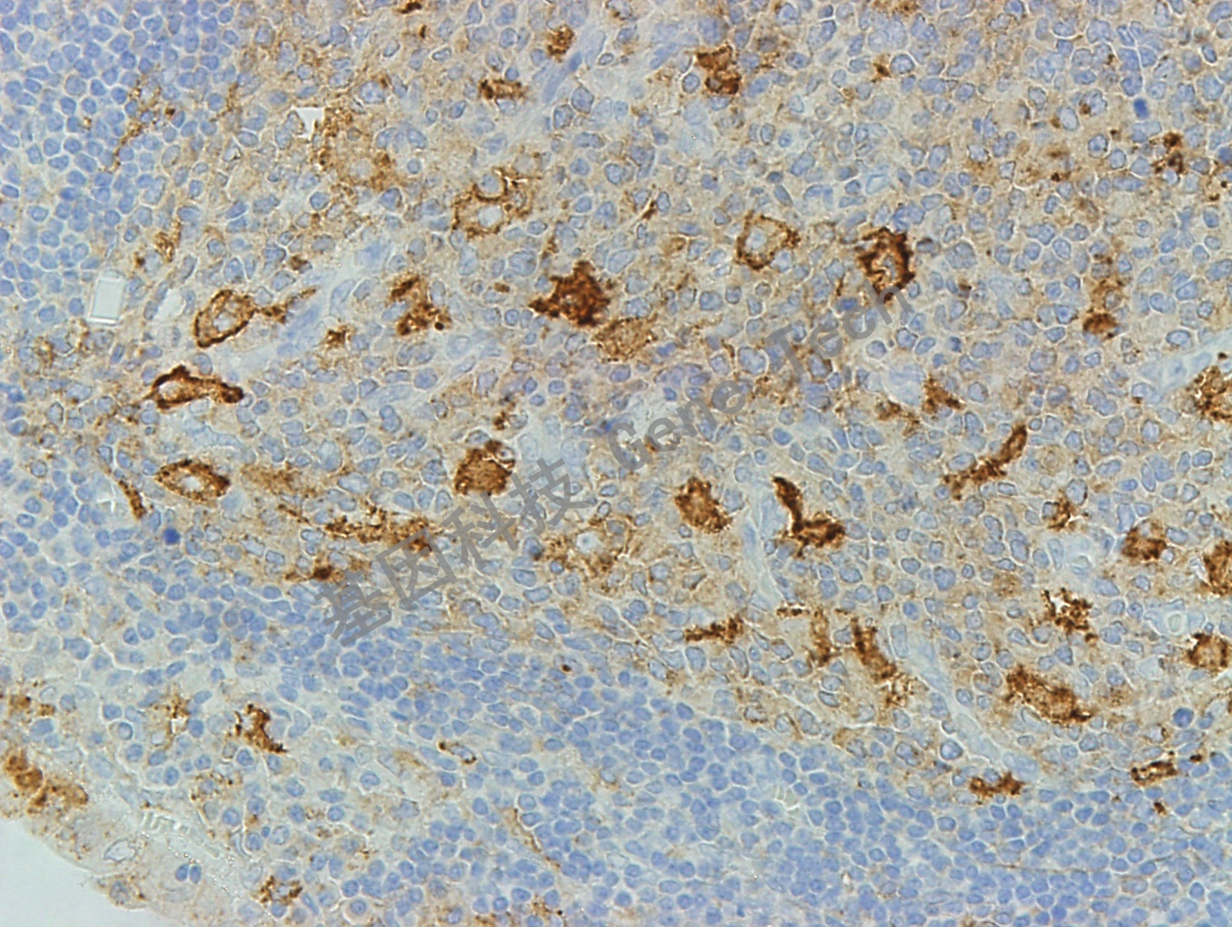
扁桃体石蜡切片,用 CD71(GT2143)染色,细胞膜/细胞浆阳性,DAB显色。(10×)

扁桃体石蜡切片,用 CD71(GT2143)染色,细胞膜/细胞浆阳性,DAB显色。(40×)

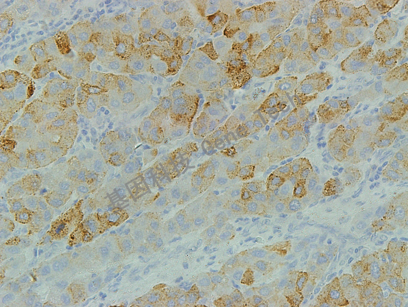
肝石蜡切片,用 CD71(GT2143)染色,细胞膜/细胞浆阳性,DAB显色。(40×)