沪闵械备20190116号
TS(Thymidylate synthase, 胸苷酸合成酶)是由两个相同亚单位组成的二聚体蛋白,是DNA生物合成的关键酶,也是以5-FU为基础治疗的靶向酶。编码基因定位于染色体18p11.32,TS基因的多态性有可能导致酶活性或功能的改变,从而影响个体对癌症的易感性以及癌症患者对化疗药物的敏感性甚至预后。TS的表达与肿瘤的恶性生物学行为密切相关。
【种属】鼠
【预处理】高pH热修复
【阳性部位】细胞浆/细胞核
【阳性对照】结肠癌/淋巴结
【染色系统】基因科技GTvision试剂盒

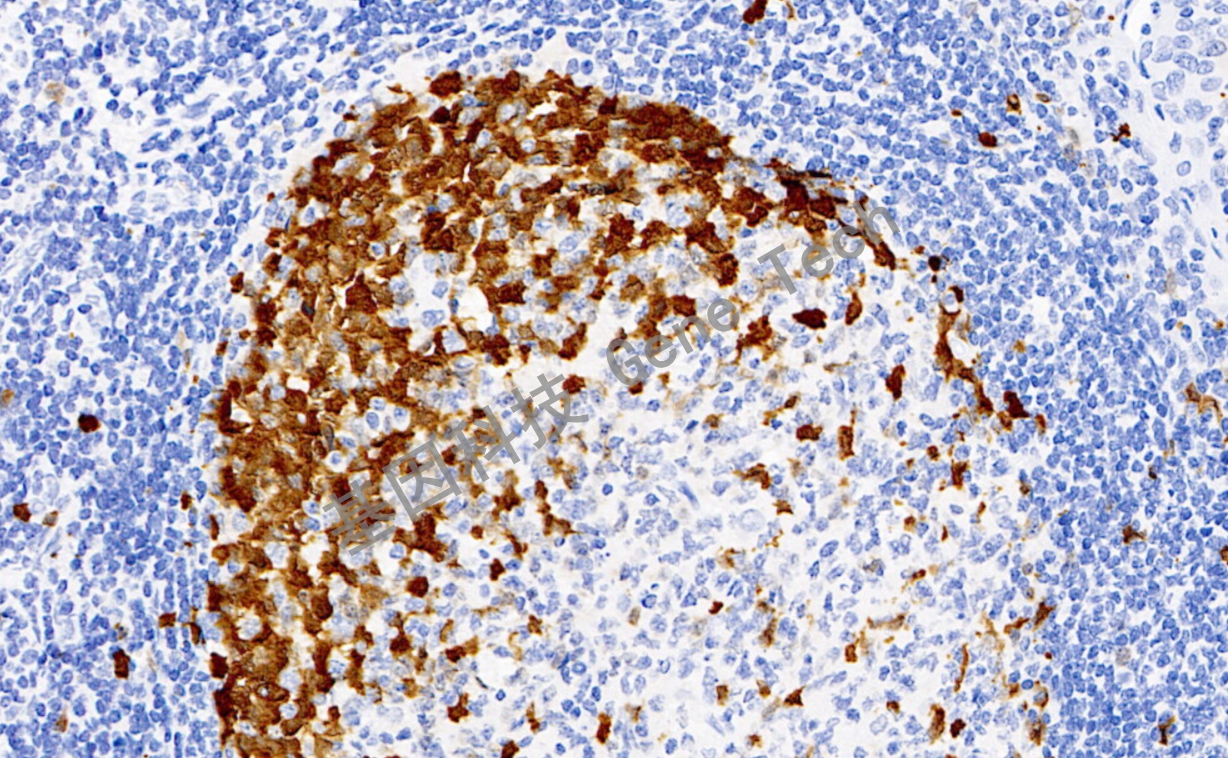
淋巴结石蜡切片,用 TS(GM3614)染色,细胞浆/细胞核阳性,DAB显色。

扁桃体石蜡切片,用 TS(GM3614)染色,细胞浆/细胞核阳性,DAB显色。

扁桃体石蜡切片,用 TS(GM3614)染色,细胞浆/细胞核阳性,DAB显色。

扁桃体石蜡切片,用 TS(GM3614)染色,细胞浆/细胞核阳性,DAB显色。